会员登录|免费注册|忘记密码|管理入口 返回主站|切换语言|保存桌面|手机浏览|联系方式|购物车
【企业会员】第1年

文安县魏家口腔门诊部  
加关注0

我门诊引进了美国登斯柏X光机、意大利数字成像机、韩国三维CT机、德国西诺德综合治疗台等一大批先进治疗设备。瑞士洗牙机,魏家口腔门诊以先进技术为保障,以解除患者痛苦为使命,与北京医科大学、天津市口腔医院、西安第四军医大学等单位建立起长期进修合作关系,魏家口腔门诊一切以患者为中心,实施“患者至上、格守诚信、爱岗敬业、微笑式服务”的服务理念, “实施一次就诊,终身服务”长期服务计划,深受当地患者的尊敬和爱戴。魏家口腔门诊的医生和护士热心于牙科新技术的推广和应用,以做行业领先品牌,提出了“健康牙齿、美化生活”从魏

搜索
站内搜索
 
联系方式


请先 登录注册 后查看


荣誉资质
  • 暂未上传
友情链接
  • 暂无链接
新闻中心
  • 暂无新闻
产品分类
  • 暂无分类
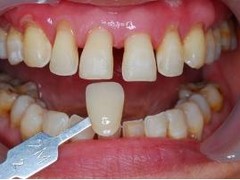
首页 > 产品 > 廊坊牙齿局部修复哪家品牌好_上乘牙齿局部修复
廊坊牙齿局部修复哪家品牌好_上乘牙齿局部修复
单价 面议对比
询价 暂无
发货 河北廊坊市付款后3天内
库存 1普通
品牌 魏家口腔
过期 长期有效
更新 2015-12-04 02:28
 
详细信息
廊坊牙齿局部修复哪家品牌好_上乘牙齿局部修复 我公司提供的牙齿局部修复服务一直以来都有着良好的口碑。因为我们以至诚服务,追求完美为出发点,走着亲民的路线。我们竭诚以亲切的方式以及全心全意为顾客服务,忠实履行自己的职业职责的服务标准为您服务,客户满意,才是真的满意。文安县魏家口腔门诊部把专业的理论知识和精湛的技术手法作为自己的核心竞争力和生命线,提供的牙齿局部修复获得了广大牙病,牙齿问题等群体的支持与信赖。牙齿局部修复是以项目计费,为了能够更好的服务于大众,顾客可采用银行转账;在线支付;存兑汇票;当面交易的方式付款。 项目:牙齿矫正牙齿局部修复 场所:店内 牙齿局部修复品牌:魏家 服务条款:服务结束,款项结清 增值服务:免费信息咨询 服务方式:到店服务 服务理念:办百姓满意的医院,做患者喜欢的大夫 价格:商议 一级的牙齿局部修复,价格合理的牙齿局部修复,体贴的牙齿局部修复 魏家口腔“诚信经营、质量为本、效果为核心、利益为前提、市场口碑为目标”的市场理念,一贯奉行“崇尚和谐”的企业精神,提供的牙齿局部修复主要针对牙病,牙齿问题等群体,得到了众多服务对象的青睐。我们的营业时间是周一至周日,您可通过电话预约;网上预约;到店预约;微信预约的方式提前预约。 文安县魏家口腔门诊部以至诚服务,追求完美为出发点,创建伊始就致力为顾客提供高品质的牙齿局部修复,在医疗保健服务领域口碑颇好。魏家口腔位于文安县赵各庄镇大堡村,并服务于河北廊坊文安县的顾客,是广大牙病,牙齿问题等群体必选之地。咨询电话:0316-5066386 继续往下走,瞧瞧更多,上乘牙齿局部修复,牙齿局部修复价格如何,牙齿局部修复值得信赖的信息 魏家口腔凭借多年的行业经验,不单单为用户带去健康美丽,更是一家致力于推广发展牙齿局部修复事业公司。专门为广大牙病,牙齿问题等群体提供满意的牙齿局部修复,以满足其需求,秉承以高品质的专业牙齿局部修复服务与广大牙病,牙齿问题等群体一起打造最美事业,缔造完美生活。我们有信心,决心和雄心,相信我们一定能做到。 公司地址:文安县赵各庄镇大堡村,联系电话:0316-5066386,联系人:魏玉梅 非常欢迎广大合作者来文安县魏家口腔门诊部莅临合作专业的牙齿局部修复,价格划算的牙齿局部修复,优质的牙齿局部修复,牙齿局部修复可信赖www.weijiakouqiang.net